Weeds Can Pose Additional Threat to Potato Production
By Zack Frederick, Tom Cummings and Dennis Johnson, Department of Plant Pathology, Washington State University
Weeds present in fields compete for water, nutrients, sunlight and space. They can also support disease-causing organisms such as viruses or fungi, according to recent research at Washington State University (WSU).
Verticillium wilt of potato is caused by the soil-dwelling fungus Verticillium dahliae, which is one of the most important fungal parasites of potato worldwide. Symptoms of Verticillium wilt of potato include drooping or wilting, stunting and yellowing of the plant and premature death. Verticillium wilt can reduce yields of susceptible potato cultivars by up to 50 percent.
A minute body called a microsclerotium is produced by V. dahliae as a survival structure. The microsclerotium is composed of the thickened, darkly pigmented cells that allow the fungus to survive in soil between seasons. Spreading of V. dahliae occurs when soil or plant matter carrying microsclerotia is moved by man, wind or water. Infection of potato by V. dahliae can occur whenever microsclerotia are present, but generally requires five to 30 microsclerotia per gram of soil.
An isolate of V. dahliae is part of the fungus that is collected from soil or plant matter and grown in pure culture. Certain V. dahliae isolates are considered more aggressive than other isolates when increasingly severe symptoms or greater numbers of microsclerotia are produced within one host than in other plants. Aggressive isolates of V. dahliae may be selected for as the fungus completes the life cycle within the same host repeatedly, and perhaps the presence of specific weeds can also contribute to aggressiveness. The exact amount of time needed for an isolate to become aggressive has not been determined.
It is not known if potato-aggressive isolates of V. dahliae can infect weeds and produce more microsclerotia compared to other isolates. If potato-aggressive isolates of V. dahliae can infect weeds, produce microsclerotia and maintain aggressiveness, then the next potato crop planted could be at an increased risk of a severe outbreak of Verticillium wilt.
WSU researchers attempted to quantify the aggressiveness of eight isolates of V. dahliae on 16 weeds in order to identify the susceptibility of these weeds from the Columbia Basin to eight V. dahliae isolates. This research was pursued in order to identify weeds where the potato- or mint-aggressive isolates of V. dahliae produce greater numbers of microsclerotia compared to the other V. dahliae isolates.

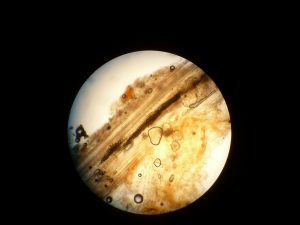
A cross section of a stem infected with Verticillium wilt shows black microsclerotia forming in water conducting tissues. Photo courtesy David L. Wheeler
What We Did
Verticillium dahliae isolates employed were previously characterized by Dr. Jeremiah Dung and were isolated from potato, mint, tomato, sunflower, sugar beet, watermelon and tomato. Isolates from potato and mint were aggressive to the host from which they were originally isolated.
The common names for the weeds used in this study were annual bluegrass, annual sowthistle, barnyard grass, bittersweet nightshade, black nightshade, common lambsquarters, downy brome, eastern black nightshade, green foxtail, hairy nightshade, large crabgrass, litchi tomato, pigweed Powell, pigweed tumble, rattail fescue, and wild oat. Eggplant (cv. Night Shadow) was planted as a universally susceptible host to all isolates of V. dahliae.
Russet Norkotah potatoes were planted as a host that was also susceptible to V. dahliae, but the isolates aggressive to potato should show more severe symptoms and produce greater numbers of microsclerotia compared to an isolate that is not aggressive.
Plants were artificially inoculated and grown in potting mix in the greenhouse. Test plants were inoculated by dipping roots in spore suspensions of the individual isolates for up to four trials. Plants were monitored for symptoms while growing in the greenhouse, and microsclerotia from dried tissues were counted after four months of growth. Aggressiveness was determined by comparing the number of microsclerotia between each isolate from a single type of plant host (i.e. comparisons were made between the potato and mint pathotype isolates within wild oats). A V. dahliae isolate that produced more microsclerotia than other isolates or increased symptoms of disease after infecting a weed was considered aggressive.

Table 1. Weed and crop plants (left column) by isolates of Verticillium dahliae from tomato and potato hosts (second row) used to determine microsclerotia production when potential host plants were inoculated with V. dahliae isolates in four greenhouse trials in 2014-2016. Only plants where one isolate produced more microsclerotia than the other isolates in one trial are shown.
a – indicates this V. dahliae isolate was not more aggressive than other isolates.
b Mean ± standard error indicates one V. dahliae isolate was more aggressive than other isolates and produced this many microsclerotia.
What We Found
All weed and crop hosts evaluated were infected by at least one isolate of V. dahliae because microsclerotia were produced in the plant after inoculation. Verticillium dahliae infections of most weeds can yield small numbers of observed microsclerotia (fewer than five to 10 microsclerotia per gram of plant) (Table 1), and no infected weeds showed symptoms of Verticillium wilt in the greenhouse in any of the four trials.
Differences in the number of V. dahliae microsclerotia produced by infection were observed in some weeds. A potato-aggressive isolate of V. dahliae produced more microsclerotia than other V. dahliae isolates within black nightshade in three of four trials (Table 1, Fig. 1). The V. dahliae isolate from tomato produced more microsclerotia than other V. dahliae isolates within wild oats in two of three trials (Table 1, Fig. 1). That same V. dahliae isolate from tomato caused infections with significantly greater numbers of V. dahliae microsclerotia than other V. dahliae isolates in pigweed tumble (first trial), large crabgrass (second trial) and henbit (third trial) (Table 1, Fig. 1) but only in one trial each.
Weeds not mentioned in Fig. 1 such as eastern black nightshade and hairy nightshade were susceptible to infection by six of eight and all eight V. dahliae isolates, respectively. Despite susceptibility to most V. dahliae isolates, no one isolate produced more microsclerotia than the seven other isolates in eastern black nightshade and hairy nightshade or the other weedy hosts evaluated over the course of four trials.

Figure 1. Summary of the number of trials where a V. dahliae isolate was more aggressive than the other isolates. Aggressiveness was determined by a greater number of microsclerotia produced by one isolate than the other isolates for a specific weed. The host of origin of the V. dahliae isolate is written within or above each bar, and the weedy host evaluated is along the horizontal axis. The isolate from potato was aggressive on potato, while the isolate from tomato was not aggressive on tomato.
What This Means
Every weed tested in this study was confirmed (or re-confirmed) as a host for V. dahliae as indicated by the recovery of V. dahliae from plants grown in greenhouse settings. The consistent observation of black nightshade being susceptible to the potato-aggressive isolate of V. dahliae is important in managing Verticillium wilt of potato because fields and locations within fields where black nightshade are prevalent may have greater inoculum pressure from V. dahliae aggressive to potato in subsequent years. Other nightshade weeds like eastern black nightshade and hairy nightshade were susceptible to infection by V. dahliae aggressive to potato, even though no one isolate produced more microsclerotia than the seven other isolates. Consequently, weed management, especially for weeds of the nightshade family, could be an important tactic for reducing the number of microsclerotia of potato aggressive isolates of V. dahliae and managing Verticillium wilt of potato.
Authors’ note:This work was supported, in part, by funds from the Washington State Potato Commission. We thank Dr. Rick Boydston for providing the seed of weeds and Dr. Chuck Brown for providing litchi tomato seeds.


